Navigation überspringen Sitemap anzeigen

Unser Rekonstruktionskonzept Ihr Weg zu dauerhafter Zahngesundheit

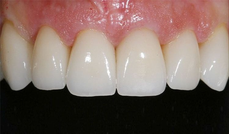
Nach erfolgter Behandlung haben unsere Patienten einen Grund mehr, wieder zu lächeln. Denn wir legen größten Wert auf eine perfekte, natürliche Ästhetik. Dies erreichen wir in erster Linie durch vollkeramische Restaurationen ohne Metallanteil. Bei der Herstellung voll keramischer Kronen und Teilkronen können Farbe, Form und Oberflächentextur des Zahnersatzes der natürlichen Zahnsubstanz optimal angepasst werden. Gleichzeitig kann man dezente Formveränderungen oder Stellungskorrekturen vornehmen.

Die Präparation erfolgt unter Sicht durch das Dentalmikroskop substanzschonend und häufig minimalinvasiv. Je nach Anzahl und Stabilität der eigenen Zähne fertigen wir für Sie Zahnersatz, den man von außen nicht als solchen erkennen kann, weil er entweder auf geschickt einbezogenen eigenen Zähnen oder auf im Knochen verankerten Implantaten abgestützt ist. Aber nicht nur der sichtbare Teil Ihrer Zähne liegt uns am Herzen. Unverzichtbar für eine solide Rekonstruktion sind die Fundamente, also der Zahnhalteapparat und die Zahnwurzeln mit ihrem Wurzelkanalsystem, die die Rekonstruktion tragen sollen.

Unser ganzheitliches Gesamtkonzept

Ein besonderer Schwerpunkt unserer Praxis liegt in Analyse und Therapie der Funktion des Systems aus Zähnen, Muskeln und Gelenken, die bei jeder Anfertigung von Zahnersatz berücksichtigt wird. Man sieht es nicht, aber man spürt es, wenn die Zähne hindernisfrei aneinander vorbeigleiten können und beim Zusammenbeißen alle Zähne die Kraft der Kaumuskeln gleichmäßig aufnehmen. Noch besser fühlt es sich an, wenn dabei – wie abgebildet – auch andere Strukturen des Körpers wieder „im Lot“ sind.

Fehler im Zusammenspiel von Zähnen, Kaumuskeln und Kiefergelenken führen häufig nicht nur zu Kiefergelenkschmerzen, Kaumuskelverspannungen und Zahnschmerzen, sondern setzen sich auch in den gesamten Organismus fort. Die Folgen können u. a. Kopfschmerzen, Rückenschmerzen, Bandscheibenvorfälle und Probleme in anderen Gelenken sein. Auch ein Zusammenhang zu Migräne und Tinnitus ist wissenschaftlich belegt.

Zum Seitenanfang