Navigation überspringen Sitemap anzeigen

Wurzelkanalbehandlung
Letzte Rettung für den Zahn 

Hat sich der Zahnnerv (meist aufgrund einer tiefen Karies) entzündet, ist die Wurzelkanalbehandlung die einzige Möglichkeit, den Zahn zu retten.

Oft geht die Entzündung im Zahn mit starken Schmerzen einher, aber die Wurzelkanalbehandlung bringt schnell Erleichterung und ist gar nicht so unangenehm, wie immer befürchtet wird. Gute moderne Schmerzausschaltungsverfahren und vor allem ein systematischer, zügiger Behandlungsablauf mit in der Regel nur ein bis zwei Sitzungen tragen dazu bei, dass die Behandlung gut auszuhalten ist.

Das Ziel der Wurzelkanalbehandlung ist, den betroffenen Zahn zu erhalten und so eine Zahnlücke zu vermeiden. Dafür lohnt es sich, einen hohen technischen Aufwand zu betreiben, modernste Verfahren und Materialien einzusetzen und auf Experten-Knowhow zu vertrauen. Dieser Fachbereich nennt sich Endodontie.

Wann ist eine Wurzelbehandlung nötig?

Durch Karies, undichte Füllungen oder Kronen, tief entzündete Zahnfleischtaschen oder durch Zahnverletzungen können Bakterien in das Innere des Zahnes vordringen und dort eine Entzündung auslösen. Das kann – muss aber nicht – starke Schmerzen auslösen. Die Entzündung kann sich über die Zahnwurzel hinaus in den Knochen ausbreiten und stellt dann eine Gefahr für den gesamten Körper dar. Ziel der Wurzelbehandlung ist es, die Bakterien aus dem Zahn vollständig und dauerhaft zu entfernen, damit die Entzündung ausheilen kann. Durch eine Wurzelkanalbehandlung, die nach den aktuellen Qualitätsrichtlinien mit modernster technischer Ausstattung und großer fachlicher Erfahrung durchgeführt wird, kann der Zahn mit einer hohen Erfolgsaussicht erhalten werden.

Wie ist der Ablauf einer Wurzelbehandlung?

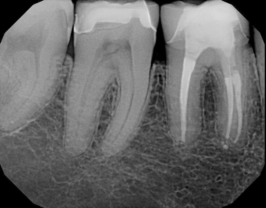
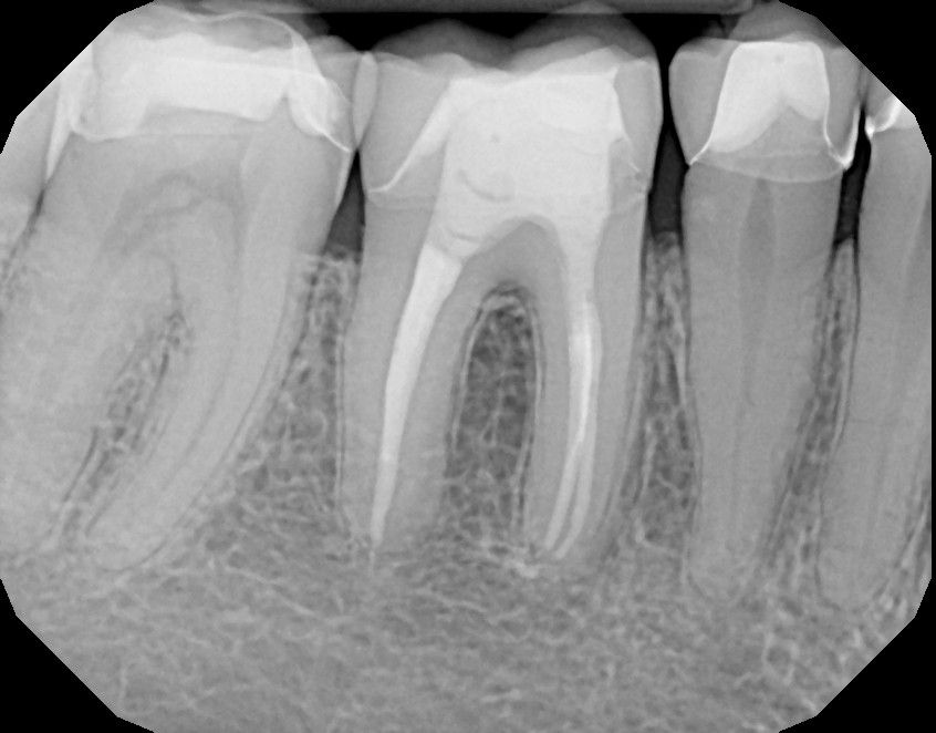
Der betroffene Zahn wird betäubt und mithilfe von Kofferdamm, einem elastischen Spanngummituch, von der Mundhöhle abgeschirmt. So ist eine schmerzfreie Behandlung möglich, bei der Ihnen keine Desinfektionslösungen in den Mund laufen und gleichzeitig auch keine Bakterien aus dem Speichel in den offenen Zahn eindringen. Falls erforderlich, wird Karies entfernt und der Zahn mit einem vorbereitenden Aufbau abgedichtet. Danach wird die Nervhöhle eröffnet, und die Eingänge in die Wurzelkanäle werden dargestellt. Nun werden alle Kanäle mithilfe der Elektrometrie ausgemessen, damit alle folgenden Maßnahmen in der richtigen Länge bis zur Wurzelspitze durchgeführt werden können. Dann werden die Wurzelkanäle mit hochelastischen Feilen aufbereitet, damit alles infizierte Gewebe und die Bakterien entfernt werden. Desinfizierende Spülungen helfen dabei. Abschließend wird das Kanalsystem mit allen seinen Abzweigungen und Einziehungen mit Laserlicht desinfiziert. Damit ist die Aufbereitung abgeschlossen. Jetzt werden die Wurzelkanäle mit einer Kombination aus einem biokeramischen Versiegeler und Füllspitzen aus Guttapercha gefüllt. Die Guttapercha wird dann durch Erwärmen im Kanal erweicht und kann an die Kanalwände angedrückt werden. So erreichen wir einen dauerhaft Bakteriendichten Verschluss. Zum Abschluss wird der Zahn mit einer fest verklebten Füllung versorgt.

Bei ausgeprägten Entzündungen kann es erforderlich sein, die Behandlung auf mehrere Behandlungssitzungen aufzuteilen, damit in der Zwischenzeit ein desinfizierendes Medikament einwirken kann.

Werde ich während oder nach der Wurzelbehandlung Schmerzen haben?

Uns stehen verschiedene Möglichkeiten der Schmerzausschaltung zur Verfügung, sodass die Wurzelbehandlung in aller Regel schmerzfrei ablaufen wird.

Wenn Sie vor der Behandlung starke Schmerzen hatten, wird meist schon nach der ersten Behandlung eine deutliche Besserung eintreten. Nach Abschluss der Behandlung und dem Abklingen der Betäubung können für ein bis zwei Tage noch leichte Schmerzen auftreten, die aber mit einem Schmerzmittel gut behandelbar sind.

Wie sind die Erfolgsaussichten?

Die Erfolgsaussichten für eine mit höchster Präzision durchgeführte Wurzelkanalbehandlung liegen bei bis zu 96 %. Ob ein Zahn durch eine Wurzelkanalbehandlung gerettet werden kann, ist einerseits davon abhängig, wie stark der Zahn bereits geschädigt ist und wie komplex der Verlauf der Wurzelkanäle ist, und andererseits, wie qualifiziert, erfahren und modern ausgestattet der oder die Behandler/in ist. Der Einsatz des OP-Mikroskops mit einer bis zu 24-fachen Vergrößerung ermöglicht es uns, auch feinste Strukturen im Zahn zu erkennen und zu behandeln, z. B. kleine zusätzliche Kanälchen. Modernste Techniken bei der Vermessung, der Aufbereitung, der Desinfektion und der Füllung der Wurzelkanäle sichern die Qualität unserer Wurzelkanalbehandlungen. Dr. Karin Benz hat sich durch zahlreiche Fortbildungen und langjährige Erfahrung auf dem Gebiet der Endodontie spezialisiert und führt die Behandlungen mit großer Empathie und höchster Sorgfalt aus.

Wie bei allen medizinischen Eingriffen kann keine Garantie für einen 100%igen Erfolg gegeben werden. Klingt die Entzündung am Zahn nicht vollständig ab, kann es notwendig werden, weitere Behandlungsmaßnahmen durchzuführen oder den Zahn zu entfernen.

Was kostet eine Wurzelbehandlung?

Die gesetzlichen Krankenkassen dürfen eine Wurzelkanalbehandlung nur bezahlen, wenn die Behandlung den Kriterien der Wirtschaftlichkeit genügt. Wenn zu erwarten ist, dass die Behandlung schwierig und mit herkömmlichen Verfahren nicht sicher erfolgreich durchzuführen ist, verweigern die Krankenkassen die Kostenübernahme. Auch sind einige Verfahren der modernen Endodontie nicht Bestandteil des Leistungskatalogs. Also müssen Sie in jedem Fall mit privat zu tragenden Kosten rechnen. Wie hoch diese Kosten ausfallen, ist individuell verschieden und richtet sich nach dem Aufwand, z. B. der Anzahl der zu behandelnden Wurzelkanäle u. a. Auch private Krankenversicherungen übernehmen nicht in jedem Fall alle anfallenden Kosten. Sie erhalten vorab einen Kostenvoranschlag, dem Sie die zu erwartenden Kosten entnehmen können, und wir beraten Sie gern zu allen Ihren Fragen.

Was ist eine Revisionsbehandlung?

Wenn eine Wurzelbehandlung nicht alle infizierten Bereiche der Wurzelkanäle erfasst hatte, die Wurzelfüllung nicht ausreichend lang und dicht ausgeführt wurde oder der Zahn sich aufgrund einer weiterhin undichten Füllung wieder infizieren konnte, kann es sein, dass die Entzündung im und um den Zahn nicht ausheilt. Man kann dann versuchen, durch eine Wiederholungsbehandlung (Revision) den Zahn zu erhalten. Dazu muss das gesamte alte Wurzelfüllmaterial entfernt werden. Dann wird versucht, die bisher unvollständig aufbereiteten Kanalanteile zu säubern, zu desinfizieren und zu versiegeln. Dank des OP-Mikroskops finden wir auch Wurzelkanäle, die bisher übersehen wurden, und können sie erfolgreich aufbereiten. Trotzdem hat eine Revisionsbehandlung eine deutlich schlechtere Prognose als die Erstbehandlung. Nur wenn wir erwarten, dass wir mit unserer Behandlung Erfolg haben, werden wir Ihnen zu diesem Schritt raten.

Wann ist eine Wurzelspitzenresektion notwendig?

Die Wurzelspitzenresektion ist der letzte Erhaltungsversuch für einen bereits wurzelgefüllten Zahn. Wenn wir durch eine Revisionsbehandlung keine Verbesserung der Situation erzielen, weil wir die Entzündung im Bereich der Wurzelspitze nicht erreichen, können wir unter örtlicher Betäubung die Wurzelspitze und das umgebende entzündete Gewebe mit einem mikrochirurgischen Eingriff entfernen. Anschließend wird der Wurzelkanal von der Spitze her gereinigt und versiegelt. Die Wunde wird mit sehr feinen Nähten verschlossen. Die Fäden können nach 8–10 Tagen entfernt werden. Die fehlende Knochensubstanz bildet sich bald neu.

Wie geht es mit dem wurzelgefüllten Zahn weiter?

Ein erfolgreich endodontisch behandelter Zahn hat statistisch gesehen fast die gleiche Lebenserwartung wie Ihre anderen Zähne. Allerdings wird er mit der Zeit spröder, weil er nicht mehr von innen her ernährt wird. Um zu verhindern, dass er bei Belastung auseinanderbricht, sollte er mit einer Krone oder Teilkrone (idealerweise aus Keramik) stabilisiert und rekonstruiert werden.

Den dauerhaften Erfolg der Wurzelkanalbehandlung sichern wir mit regelmäßigen Röntgenkontrollen ab.

Werden toten Zähne dunkel?

Beim Absterben des Zahnmarks sickern manchmal Blutbestandteile in die Dentinkanälchen ein und setzen dort dunkle Farbstoffe frei, die dazu führen, dass sich der Zahn mit der Zeit verfärbt. Nach einer erfolgreichen Wurzelkanalbehandlung mit einer dichten Wurzelfüllung kann man solche Zähne von innen heraus bleichen (Internes Bleaching) und damit sehr schnell ausgesprochen schöne Ergebnisse erzielen.

Welche Risiken hat eine Wurzelkanalbehandlung?

Je komplexer, enger, gekrümmter und länger ein Wurzelkanal ist, desto größer sind die Risiken, dass die Behandlung nicht zum Erfolg führt. Was kann passieren?

  • Ein Instrument kann im Kanal steckenbleiben und abbrechen. Dieses Risiko minimieren wir durch die Verwendung hochelastischer Nickel-Titan-Feilen höchster europäischer Qualität. Wir setzen für jeden Zahn nagelneue Einmalinstrumente ein.
  • Die Feile kann sich innerhalb des Kanals den falschen Weg suchen und seitlich aus der Wurzel austreten (Via falsa). Dies ist bei Erstbehandlungen durch uns extrem selten, weil wir in jedem Wurzelkanal einen Gleitpfad anlegen, entlang dem sich die Instrumente bis zur Wurzelspitze vorarbeiten. Bei Revisionsbehandlungen kann es aber vorkommen, dass wir den natürlichen Kanalverlauf nicht mehr auffinden können.
  • Die Wurzel kann Längsrisse entwickeln. Längsrisse entstehen, wenn im Kanal zu viel Druck durch konische Instrumente oder Füllmaterialien ausgeübt wird. Sie sind häufig auch durchs OP-Mikroskop nicht zu entdecken. Durch den Kapillareffekt dieser Risse gelangen immer wieder Bakterien ins Zahninnere; daher heilt dann eine Entzündung dort nicht aus. Durch die Verwendung druckarmer Verfahren versuchen wir, diese Komplikation zu vermeiden.
  • Es kann zur Auflösung der Wurzelsubstanz kommen (Resorption) durch den Angriff von abbauenden Körperzellen sowohl an der Außenseite der Wurzel als auch innerhalb des Kanals. Dies tritt besonders nach Zahnunfällen auf und kann nicht immer langfristig gestoppt werden.
  • Es kann sein, dass die körpereigene Abwehr nicht ausreicht, eine Entzündung im Knochen an der Wurzelspitze trotz perfekter Wurzelfüllung auszuheilen. Dann können weitere Eingriffe erforderlich werden.
  • Auch noch nach Jahren kann es sich zeigen, dass der Zahn doch nicht entzündungsfrei bleibt.

Jeder Zahn wird in seinem Inneren vom Zahnmark, der Pulpa, durchzogen. Die Pulpa setzt sich zusammen aus Blutgefäßen für die Versorgung des Zahnes mit Sauerstoff und Nährstoffen, Nervenfasern für die Sensibilität des Zahnes und aus Bindegewebe. Die Pulpa verläuft in Wurzelkanälen, die man sich aber nicht als einfache Röhren vorstellen darf, sondern als komplexes verzweigtes Hohlraumsystem. Wenn sich die Pulpa mit Bakterien infiziert, breitet sich die Entzündung in alle Bereiche des Wurzelkanalsystems aus und kann den Zahn auch an der Wurzelspitze verlassen, sodass auch der umliegende Knochen betroffen ist.

Ziel der Wurzelkanalbehandlung ist es, das Wurzelkanalsystem so zu reinigen und zu desinfizieren, dass das infizierte Gewebe restlos entfernt wird. Anschließend werden alle Hohlräume mit einer kompakten Wurzelfüllung versiegelt, damit kein Raum für erneute Entzündungsprozesse bleibt. Der Zahn wird dann bakteriendicht verschlossen und später meistens mit einer Krone oder Teilkrone aus Keramik stabilisiert, damit er nicht auseinanderbrechen kann.

Eine Reihe von Faktoren erhöhen die Erfolgsaussichten einer Wurzelkanalbehandlung:

  • optische Vergrößerung durch das Operationsmikroskop, denn nur wenn wir die feinen Kanaleingänge, Einziehungen oder Seitenkanälchen sehen, können wir sie auch angemessen behandeln.
  • Verwendung von Kofferdamm zur absoluten Trockenlegung: Wir wollen keimfreie Verhältnisse erreichen, deshalb darf zwischendurch kein Speichel in den Zahn gelangen. Mit Kofferdamm schirmen wir den Zahn gegenüber der Mundhöhle ab. Gleichzeitig verhindern wir so, dass Instrumente oder Spüllösungen in den Rachen gelangen.
  • elektrometrische Längenbestimmung: Es ist wichtig, die Wurzelkanäle in ihrer vollen Länge (aber nicht darüber hinaus) aufzubereiten. Dazu werden sie kontinuierlich während der gesamten Aufbereitung über die Bestimmung des elektrischen Widerstands ausgemessen.
  • Verwendung hochelastischer Nickel-Titan-Feilen: Für jede Behandlung verwenden wir fabrikneue, hochflexible Instrumente, damit auch gekrümmte Wurzelkanäle aufbereitet werden können, ohne dass ein Instrument bricht.
  • ultraschallaktivierte Spülungen: Um auch aus seitlichen Abzweigungen infiziertes Gewebe zu entfernen, aktivieren wir die Spüllösungen mit Ultraschall. Diese dringt so auch in Bereiche ein, die wir mechanisch mit unseren Feilen nicht erreichen.
  • photoaktivierte Desinfektion: Um sicher alle Bakterien zu eliminieren, setzen wir einen speziellen Farbstoff ein, der durch Laserlicht aktiviert Sauerstoff abgibt. Das zerstört Bakterien auch in ansonsten nicht erreichbaren Arealen (PACT).
  • Verwendung modernster Versiegelungssystem: Das Wurzelkanalsystem wird verschlossen, indem ein spezielles Versiegelungsmaterial (Sealer) an die Kanalwände aufgetragen wird. Das muss bioverträglich und schrumpfungsstabil sein. Zusätzlich werden exakt angepasst Füllstifte aus Gutta percha eingebracht und mit Wärme an die Kanalwände angepasst. So erreichen wir einen hermetischen Verschluss. Anschließend werden die Kanaleingänge und der Defekt im Zahn mit einer dentinadhäsiven Kompositfüllung verschlossen.

Häufig kommen Patienten zu uns, bei denen eine frühere Wurzelkanalbehandlung nicht zum Erfolg geführt hat, d.h. die Entzündung ist nicht ausgeheilt. Wir sehen dann, dass die Wurzelkanalbehandlung nicht vollständig durchgeführt wurde und man davon ausgehen muss, dass noch infiziertes Gewebe in den Wurzeln belassen wurde. Manchmal finden wir auch ein abgebrochenes Instrument in einem Kanal. Auch ein solcher Zahn kann mit entsprechendem Aufwand häufig gerettet werden. Man spricht hier von einer Revisionsbehandlung. Zunächst muss die unvollständige Wurzelfüllung und ggf. auch das Instrumentenfragment entfernt werden. Anschließend werden die Kanäle vollständig aufbereitet und desinfiziert werden, bevor sie dann versiegelt werden können. Die Erfolgsaussichten bei einer Revisionsbehandlung sind schlechter als bei der ersten Wurzelkanalbehandlung, trotzdem lohnt sich die Mühe aber in sehr vielen Fällen.

Kann man eine Wurzelfüllung nicht mehr revidieren oder hat sich durch die Entzündung im Knochen bereits eine Zyste gebildet, bleibt noch die chirurgische Wurzelspitzenresektion. Hierbei wird die entzündete Wurzelspitze unter örtlicher Betäubung abgetrennt, das entzündete Gewebe im Knochen wird entfernt und der Wurzelkanal wird rückwärtig versiegelt. Auch hier ist das Mikroskop ein unersetzliches Hilfsmittel, weil man so den Zugang zur Wurzelspitze klein halten kann und besser beurteilen kann, ob die Wurzel vielleicht gerissen ist.

Bei allem Aufwand, den wir im Zuge der endodontischen Behandlung betreiben, muss immer deutlich gesagt werden, dass es sich hier um einen Erhaltungsversuch handelt. Wir schätzen zum Beginn der Behandlung die Erfolgsaussichten ab und beraten Sie offen zur Prognose und möglichen Alternativen.

Zum Seitenanfang